Спорное исследование перерисовывает классическую картину нейрона
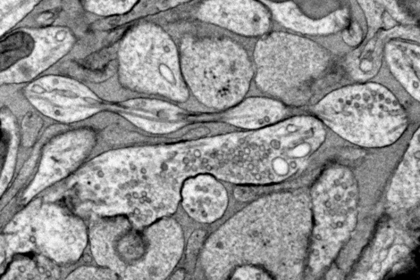
Фото из открытых источников Если открыть любой учебник по нейробиологии, и описание нейрона будет примерно таким: кляксообразное, амебоподобное тело клетки, выпускающее длинную, толстую нить. Эта нить — аксон, который проводит электрические сигналы к терминалам, где клетка общается с другими нейронами. Аксоны...
